
كيفية الحفاظ على لثة وردية

اللثة
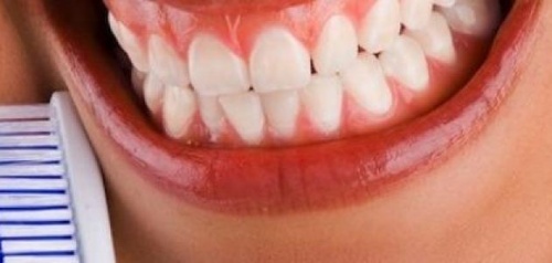
اللثة هي عبارة عن الطبقة الرقيقة التي تحيط بالأسنان العلوية، والسفلية، وقد تتعرض للعديد من الأمراض، والالتهابات التي تستدعي العلاج، فقد تؤدي أمراض اللثة في حال عدم علاجها إلى سقوط الأسنان، وتغير لونها إلى اللون الأسود، أو الأحمر الداكن، ويعتبر اللون الوردي للثة دليلاً على صحتها، ومن أجل الحفاظ على اللثة صحية يجب اتباع العديد من الطرق، وهذا ما سوف نذكره في هذا المقال.
أسباب تغير لون اللثة
التعرض لبعض التغيرات الهرمونية التي تصيب الإنسان في فترة البلوغ، وفي فترة الحمل، وأثناء الدورة الشهرية، في مرحلة سن اليأس، حيث تتسبب هذه الهرمونات في زيادة حساسية الأسنان، وزيادة الإصابة بالتهابات اللثة.
تناول بعض العقاقير الطبية التي تؤثر على لون اللثة، وسلامتها، وذلك عن طريق تخفيض إفراز اللعاب مثل الأدوية المخصصة لمعالجة التهاب البلعوم.
ممارسة بعض العادات السئية مثل التدخين، واهمال نظافة الأسنان، أو بسبب عوامل وراثية.
معاناة بعض الأشخاص من بعض الأمراض مثل مرض السرطان، أومتلازمة العوز المناعي أي نقص المناعة، أو مرض السكري، حيث يؤثر على امتصاص السكر في الطعام الأمر الذي يجعل المرضى أكثر عرضة لتسوّس الأسنان، وتغيّر لون اللثة.
الإصابة ببعض الأمراض الهرمونية مثل مرض أديسون، ومرض نيلسن.
كيفية الحفاظ على لثة وردية
تنظيف الأسنان مرتين يومياً قبل، وبعد تناول وجبات الطعام.
استعمال فرشاة أستنان ناعمة الشعيرات، ولا تؤذي اللثة.
الغرغرة قبل النوم بالماء المضاف إليه ملعقة كبيرة من الملح، مما يقتل الجراثيم.
استعمال خيط الأسنان من أجل إزالة بقايا الطعام تجنباً تراكمها بين الأسنان.
تجنب تناول المشروبات الغازية التي تحتوي على نسبة عالية من السكر.
تناول الأطعمة التي تحتوي على نسبة عالية من الفيتامينات، التي تغذي اللثة، والأسنان مثل الفاكهة، والخضار.
زيارة الطبيب كل ست شهور.
التوقّف عن التدخين.
عدم المبالغة في تنظيف الأسنان؛ لأنّ هذا سوف يتسبّب في تهيّج أنسجة اللثة، ويغيّر لونها للأحمر، والشعور بالألم، ولا بدّ من لإشارة إلى تجنّب الحركة الجانبية لفرشاة الأسنان لأنّها تضر اللثة، والأسنان مع الاكتفاء بالحركة من الأعلى للأسفل لمدّة دقيقة.
تجنّب مشاركة فرشاة الأسنان مع شخص آخر.
وصفات طبيعية لتوريد اللثة
وصفة الملح
المكوّنات
ملعقتان كبيرتان من الملح.
ملعقة كبيرة من العسل.
طريقة التحضير:
نخلط العسل و الملح حتى نحصل على عجينة متماسكة، وندهن المزيج على اللثة، والأسنان، ثم نفركه بفرشاة الأسنان.
وصفة الكركم
المكوّنات:
مئة غرام من خلاصة الكركم.
مئة ملليلتر من الماء.
طريقة التحضير:
نذيب الكركم في الماء الدافىء، ونتركه حتى يبرد جانباً، ثم نتغرغر بهذا المزيج.