• مركز أسنانك الدولي

        مختصون بزراعة الأسنان وتركيبات أسنان الزيركون منذ عام 1995


  • التسجيل التعليمـــات التقويم

    إضافة رد
    قديم 01-04-2015
      #1
    narine
    Administrator
    تاريخ التسجيل: Dec 2014
    المشاركات: 162
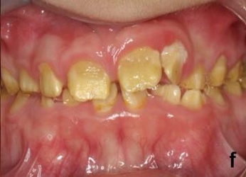
    افتراضي تشوهات الأسنان:

    ١- سوء تشكل طبقة ميناء الأسنان
    تحدث هذه التشوهات بسبب وجود خلل في تكوين المينا الذي قد يحدث أثناء مرحلة تكوين وتكلس الأسنان داخل رحم الأم.
    وينتج عنه تضائل في طبقة المينا فتصبح الأسنان حساسة جدا وذلك بسبب انكشاف الطبقة الداخلية للسن (العاج) حيث يتغير اللون ويصبح مائلا إلى الاصفرار وتكون الأسنان أكثر عرضة للتصبغات الخارجية وتكون أيضا صغيرة الحجم مع وجود فراغات بين الأسنان.
    وتتراوح طرق العلاج ولكنها جميعا تهدف إلى تغطية الأسنان بواسطة حشوات ضوئية أو تلبيسات خزفية.

    ٢- سوء تشكل طبقة العاج (Dentinogenesis Imperfecta).
    النوع الثاني وهو سوء تشكل طبقة العاج Dentinogenesis Imperfecta قد يكون مصاحبا لمرض أكثر خطورة وهو سوء تشكل العظام (Osteogenesis Imperfecta) ويصيب كلا من الأسنان اللبنية والدائمة بسبب التحول الجيني المصاحب.
    وهو أصعب من ناحية العلاج لأن الطبقة المصابة هي الطبقة الداخلية للسن والتي تعتبر الجسم الداخلي لتركيبة السن لذا فالأسنان تكون ضعيفة سهلة الكسر و...يميل لونها إلى الرمادي الداكن أو البني المصفر.
    ومن طرق العلاج المعروفة تلبيس الأسنان بتيجان مصنعة من الزيركون، خاصة الخلفية منها وذلك للحفاظ على علاقة الفكين ببعضهما التي قد تتأثر بسبب تآكل تيجان الضروس.
    كما أن استخدام الحشوات في مثل هذه الحالات صعب لأن طبقة المينا تكون هشة جدا. وفي الحالات المتقدمة يتم عمل طقم كامل للأسنان فوق جذور الأسنان المتبقية (Overdenture).

    ٣- التبقع الفلوريدي

    وغالبا ما يحدث هذا التشوه بسبب زيادة نسبة الفلورايد في المياه المخصصة للشرب مثل مياه بعض الآبار وبالتالي فإن المداومة على شرب مثل هذه المياه قد يعرض الأسنان إلى هذا التشوه حيث إن طبقات الأسنان الكلسية تكون مليئة بالفلورايد وذلك بسبب تعرض الأسنان لكميات زائدة عن الحد المناسب لتناول الفلورايد.
    الصور المرفقة
      
    الصور المرفقة
    نوع الملف: jpg 10624782_745158378871721_7363123118946902933_n.jpg‏ (26.9 كيلوبايت, المشاهدات 18)
    صفحة جديدة 2

     

     

    بإمكانكم الاتصال بالدكتور انس عبد الرحمن أخصائي زراعة الأسنان وتركيب أبتسامة هوليود

    عبر الواتساب  للأستفسار حول علاج الأسنان في مركز أسنانك الدولي في اسطنبول

     أنقر هنا ليتم الاتصال المباشر مع الدكتور انس عبد الرحمن أخصائي زراعة وتركيب اسنان أو إنسخ رقم الموبايل

    00905355709310

    للأتصال به عبر الموبايل أو الأيمو

    كما بإمكانكم الأشتراك في قناة الدكتور أنس عبد الرحمن  ليصلكم كل شي جديد


    التعديل الأخير تم بواسطة narine ; 01-04-2015 الساعة 01:16 PM
    narine غير متواجد حالياً  
    رد مع اقتباس
    إضافة رد


    الذين يشاهدون محتوى الموضوع الآن : 1 ( الأعضاء 0 والزوار 1)
     
    أدوات الموضوع إبحث في الموضوع
    إبحث في الموضوع:

    البحث المتقدم

    تعليمات المشاركة
    لا تستطيع إضافة مواضيع جديدة
    لا تستطيع الرد على المواضيع
    لا تستطيع إرفاق ملفات
    لا تستطيع تعديل مشاركاتك

    BB code is متاحة
    كود [IMG] متاحة
    كود HTML معطلة



    الساعة الآن 07:19 AM.



    تعريف :

    منتدى مركز أسنانك الدولي من أوائل المنتديات العربية التي خدمت المرضى منذ 1995 مقرها الحالي في مدينة أسطنبول التركية - مدير المنتدى الدكتور أنس عبد الرحمن أخصائي زراعة وتركيبات الأسنان .


    جميع المواضيع و الردود المطروحة لا تعبر عن رأي المنتدى بل تعبر عن رأي كاتبها

    Powered by vBulletin® Version 3.8.4
    Copyright ©2000 - 2026, Jelsoft Enterprises Ltd